The header image of vintage 1955 Pfizer penicillin vaccine bottles is courtesy of Pond5 and Google Images.
Health Friday is a series devoted to information regarding Big Pharma, vaccines, general health, and associated topics. As today’s offering speaks to the negative effects and outcomes of the modRNA COVID-19 BIOWEAPON “vaccines”, Yours Truly dedicates it to all persons, of whatever age or location, who have suffered, and/or continue to suffer, injuries, illnesses, or disabilities induced by these “vaccines” that they took; and, to those who have passed away from the negative effects and outcomes induced by these “vaccines” that they took.
There are Important Notifications by our host, Wolf Moon; the Rules of our late, good Wheatie;, and, certain caveats from Yours Truly, of which readers should be aware. They are linked here. Note: If there is AI-generated content in today’s offering, it will be labeled as such. If readers wish to post AI-generated content in today’s discussion thread, they must cite their source. Thank you.
Part One of this series on the ongoing negative effects of the Pfizer-BioNTech COVID-19 modRNA BIOWEAPON “vaccine”, BNT162b2, is here: https://www.theqtree.com/2026/02/06/health-friday-2-6-2026-open-thread-pfizer-biontech-covid-19-modrna-bioweapon-vaccine-negative-effects-proven-ongoing-over-three-years-post-injection-part-one/. Part One discusses one of the ongoing negative effects that this “vaccine” induces: a permanent skin condition called Grover’s Disease.
>>>>>>>>>>>>>>>>>>>>>>>>>>>>>>
Today’s offering, Part Two, discusses the ongoing damage that BNT162b2 induces in the mitochondria of the “vaccinated” person’s body.
What are the mitochondria of the human body? These tiny organelles are present in every area and organ of the body. Mitochondria are the “power plants” of the body’s cells: they create energy to fuel the functions and lifecycle of each cell. The National Institutes of Health (NIH) describes what mitochondria are, and what they do, here: https://www.nih.gov/news-events/nih-research-matters/mitochondria-health, ” Mitochondria and health”, 22 July 2025. Please see the screenshots from this article, below:

Below is an image of mitochondria in the heart muscle of a rat. The mitochondria cells are brown. They have multiple “folded areas” within them, which increase the area for energy production.

Urbano, et al., has a very good article that explains how the mitochondria function, their importance to human health, and more, here: https://doi.org/10.1016/j.bbadis.2025.167803, “Mitochondria: An overview of their origin, genome, architecture, and dynamics”. Ana M. Urbano, et al. 25 March 2025. Please see the screenshot, below, from this paper:

Walter Chesnut has several blog research articles on mitochondria and how they are adversely affected by the spike protein of the SARS-CoV-2 (COVID-19) virus itself. One such article is here: https://wmcresearch.substack.com/p/mitochondrial-carpet-bombing-the, “Mitochondrial Carpet Bombing: The Endothelium is the Gateway through which the Spike Protein Devastates the Mitochondrial Landscape”, 9 October 2023. Please see the image from this article, below:

The above image is from the paper by Luca Perico, et al., regarding the spike protein and the endothelium: https://doi.org/j.tim.2023.06.004, “SARS-CoV-2 and the spike protein in endotheliopathy.” Luca Perico, et al. 12 June 2023.
Another article by Mr. Chesnut on the damage that the COVID-19 virus spike protein does to the mitochondria of the body: https://wmcresearch.substack.com/p/the-spike-protein-causes-to-the-exact, “THE SPIKE PROTEIN CAUSES TO THE EXACT SAME DAMAGE TO THE ENDOTHELIUM AS IF IT HAD BEEN IRRADIATED”, 7 March 2022. Please see the screenshot from this article, below:

The Salk Institute article referred to above is here: https://www.salk.edu/news-release/the-novel-coronavirus-spike-protein-plays-additional-key-role-in-illness/, 30 April 2021. The paper is found here: https://doi.org/10.1161/CIRCRESAHA.121.318902. “SARS-CoV-2 Spike Protein Impairs Endothelial Function via Downregulation of ACE2.” John Y-J. Shyy, et al. 31 March 2021. Note: Endothelial cells are tiny cells that line the inner surface of blood vessels. The mitochondria of endothelial cells work in “signalling” cellular responses among these cells.
It is obvious how important the mitochondria are to the proper functioning and life cycle of every cell in the human body.
Yours Truly turns again to the just-published paper by Hulscher, McCullough, et al., which was presented in Part One of this series. The paper is here: https://zenodo.org/records/18460099, “Unprecedented Persistence of Vaccine mRNA, Plasmid DNA, Spike Protein, and Genomic Dysregulation Over 3.5 Years Post-COVID-19 mRNA Vaccination.” Nicolas Hulscher, MPH, Peter A. McCullough, MD, MPH, Wei Zhang, PhD, et al. 2 February 2026. Please see the screenshots from this paper, below, regarding damage to the “vaccinated” patient’s body in the discussion of genomic dysregulation symptoms that were found: this genomic dysregulation indicates that multiple areas of mitochondrial-level damage had been induced. First, the summary paragraph:

Then, the “persistent plasmid DNA fragments“: text from the paper; then, Fig. 5c-d from the paper:



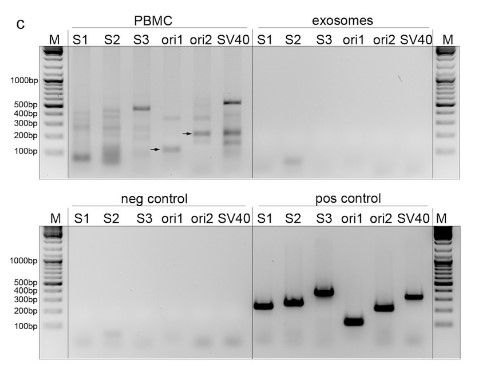
Followed by, the “exosomal vaccine mRNA“: first, the text from the paper; then, Fig. 5b from the paper:


Note: “exosomal” refers to the exosomes, tiny cells in the body that serve as “carry it from one place to another” cells. Exosomes are found in many areas of the body, including in sweat, saliva, tears, in other types of body fluids; in cells on the surface of the skin; and so on.
And, the “long-lived spike protein“: first, the text from the paper; then, the Fig. 5a from the paper:


The descriptions and abbreviations key of the Fig. 5 from the paper:

Finally, Fig. 7 from the paper, an AI-generated image of the types of bodywide damage that was induced in the patient after he took the three injections of the Pfizer-BioNTech COVID-19 modRNA BIOWEAPON, BNT162b2. Please see the box “Genomic Dysregulation“:

Yours Truly wrote about the potential for the SARS-CoV-2 (COVID-19) virus itself, and the potential for the COVID-19 modRNA BIOWEAPON “vaccines”, to damage and/or cause dysfunction of the mitochondrial cells of the “vaccinated” person’s body, here: https://www.theqtree.com/2023/10/28/the-covid-19-virus-and-the-modRNA-covid-19-vaccines-induce-accelerated-aging/. Note: some of the linked URLs in this post may not work any more; for example, the paper by Peter S Rabinovitch, “Mitochondrial oxidative stress in aging and health span”, May 2014, is now found here: https://pubmed.ncbi.nlm.nih.gov/24860467/.
Yours Truly will again emphasize that the Hulscher, McCullough, et al., paper, quantifies and proves that multiple negative effects and outcomes of the COVID-19 modRNA BIOWEAPON “vaccines” can be detected in a “vaccinated” person’s body for over 3.5 years post-injection SO FAR. One firmly believes that the negative effects and outcomes of these “vaccines” can, and likely will, continue to manifest for many years, if not the entire lifetime, in the “vaccinated” person. It is likely that, as in the case of the Grover’s Disease that the patient in the cited paper was diagnosed with, there can be negative effects and outcomes that are permanent, with therapeutic approaches that include symptoms control and/or lifestyle-dietary changes as the only options for treatment. The presence of “Long COVID” may also be a permanent aspect in “vaccinated” persons; also controllable, but never completely eradicated from the body.
Those who lab-created the SARS-CoV-2 (COVID-19) BIOWEAPON virus itself worked for years to produce this virus. In a very real way, the word “virus” does not fully describe to this creation. Instead, it is a man-made, lab-created splicing together of bits and pieces of various animal coronaviruses, inventing something that would never have occurred naturally in the animal world.
Those who lab-created (and still are lab-creating) the COVID-19 BIOWEAPON “vaccines” — the modRNA versions, the DNA viral vector versions, and the “subunit protein” / “Inactivated” versions — use at least part of the Wuhan Hu1 SARS-CoV-2 (COVID-19) BIOWEAPON virus as the foundation for their injectables. This includes the “vaccine booster shots”, which use one or more Wuhan Hu1 “variants” as the foundation (Delta, Omicron, etc., all the way down through the “latest variant”, XFG.)
A chart of the “lineage” of the COVID-19 BIOWEAPON virus is here: https://www.cdc.gov/covid/php/variants/variants-and-genomic-surveillance.html. The source virus is the “Original Strain” at the far left of the chart image in this article. “Original Strain” = the Wuhan Hu1 original SARS-CoV-2 (COVID-19) virus. Below is a screenshot of this chart:

To date, over 70% of the population of the United States has taken at least one COVID-19 BIOWEAPON “vaccine” injection. Millions of people in the United States have taken multiple injections of these “vaccines.” The Medical Tsunami of negative effects and outcomes induced by these “vaccines” is ongoing. Unless there are complete, detailed, and sophisticated testing performed, as was done for the patient in the Hulscher, McCullough, et al., paper cited in today’s offering — the “fingerprints” of the damage induced by these “vaccines” are very difficult to trace.
Will every person who ever took an injection of BNT162b2 (or any of its “descendant clone vaccines” — the “latest COVID-19 booster vaccine” injection) — suffer the bodywide negative effects and outcomes that the patient in the Hulscher, McCullough, et al., paper, suffer? This is impossible to foretell. However, the potential for multiple negative effects and outcomes in the body (and brain) of a “vaccinated” person has now been proven to exist.
To be continued in Part Three.
THE COVID-19 BIOWEAPON “VACCINES” — ALL OF THEM — MUST BE REMOVED FROM THE MARKET AND FROM USE IN THE UNITED STATES. NOW.
THERE MUST BE ACCOUNTABILITY, JUSTICE, AND TRUTH.
Peace, Good Energy, Respect: PAVACA
(Intellectual Property Disclaimer and Notice: The ideas and opinions in today’s offering are by PAVACA. Credit must be given to PAVACA if ideas or opinions in today’s offering are used by other blog writers, by podcasters, or in social or print media.)
